ACCUEIL
CABINET
PLAN D'ACCES
URGENCES ORTHODONTIQUES
MOTIVATION
Fil interdentaire
Brossette interdentaire
Brossage manuel
Brossage électrique
CONTACTEZ NOUS
ACCUEIL
CABINET
PLAN D'ACCES
URGENCES ORTHODONTIQUES
MOTIVATION
Fil interdentaire
Brossette interdentaire
Brossage manuel
Brossage électrique
CONTACTEZ NOUS
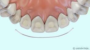
Fil de contention
Vidéos 3D
Partager
Twitter
Partager
Partager
Envoyer
Copier
Centre d'orthodontie Dr FAUCHER & ASSOCIES Saint-Chamond
8 route de Saint-Etienne 42400 Saint-Chamond
EN SAVOIR PLUS
Politique de confidentialité et charte cookie
Mentions légales
Conditions Générales Utilisation
Charte déontologique
Ordre national
Annuaires chirurgiens dentistes
LE CABINET
8 route de Saint-Etienne
42400
Saint-Chamond
RECHERCHER
Rechercher
Création par
Connexion
Vidéo en cours de lecture